Same Day Dental Crowns in Newaygo
Fast, High-Quality Results
Using advanced digital technology, we’re able to design, craft, and place your custom crown right here in our office. That means no temporary crown, no second appointment, and no waiting for a dental lab. You walk out with a fully restored tooth the same day.
What Are Same Day Crowns?
Same day crowns are custom restorations made from durable, tooth-colored materials that blend seamlessly with your natural smile. We use a precise digital scan to map your tooth and design your crown, then craft it using in-office milling technology. Once the crown is shaped and polished, we bond it securely in place.
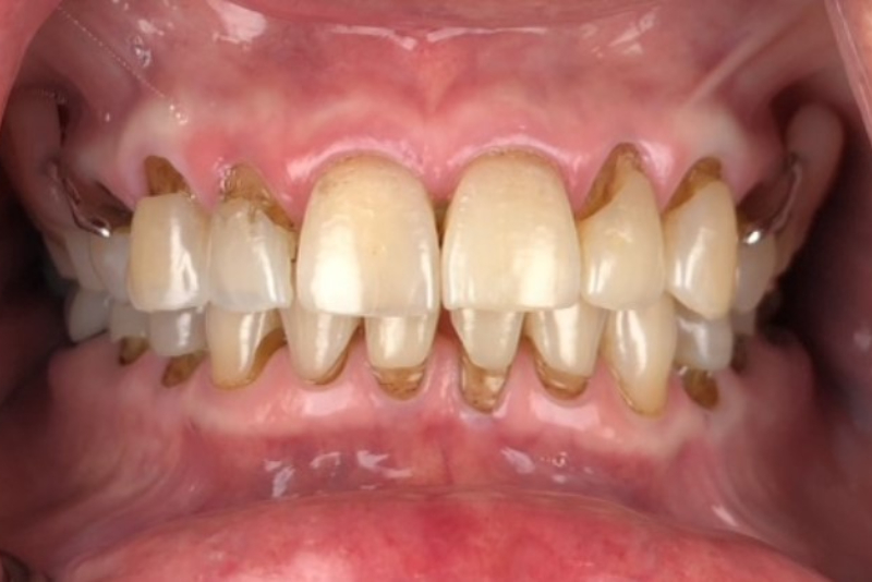
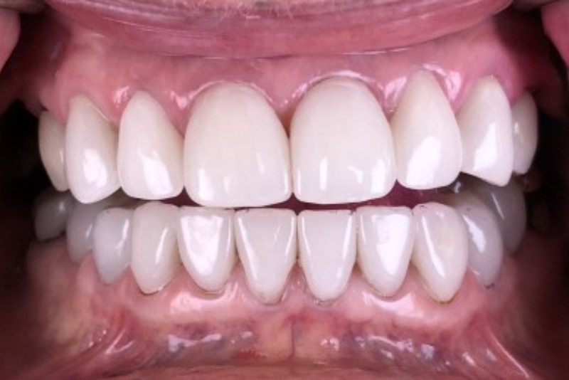
Full Mouth Crowns
Benefits of Same Day Crowns
There are many reasons to consider a same day crown, including the fact that it:
- Can be completed in one visit
- Is made of strong, long-lasting material
- Has a natural appearance and fit
- Does not require a temporary crown
- Saves time without sacrificing quality
Ideal for Busy Schedules
Same day crowns are an excellent solution for patients with demanding schedules or those who prefer fewer visits. They’re also ideal when a damaged tooth needs to be restored quickly to maintain comfort and function.
Personalized Restorative Care
Just like with traditional crowns, we take care to ensure your same day crown fits comfortably and matches your surrounding teeth. Our team will review your options and guide you through the process with clarity and care.
Book Your Appointment Today
If you have a damaged or worn-down tooth, contact Newaygo Family Dental Care at 231-652-2900 to ask about same day crowns. We’ll help you restore your smile quickly and beautifully.
